- Имплантация
- Протезирование
- Брекеты
- Коронки
- Эстетика
- Лечение
- Удаление
- Диагностика
- Лечение во сне
г. Раменское,
ул. Воровского, 8/1
г. Раменское,
ул. Воровского, 8/1


Доверьте здоровье своих зубов команде экспертов, которые
сочетают многолетний опыт с передовыми технологиями!







Материал коронки: диоксид циркония
Срок службы: до 20 лет и более
Эстетика коронки: высокая
Применение: передние и жевательные зубы
Материал коронки: керамика
Срок службы: 10-15 лет
Эстетика коронки: средняя
Применение: чаще всего в зоне улыбки
Материал коронки: керамика e-max
Срок службы: свыше 15 лет
Эстетика коронки: высокая
Применение: для передних зубов
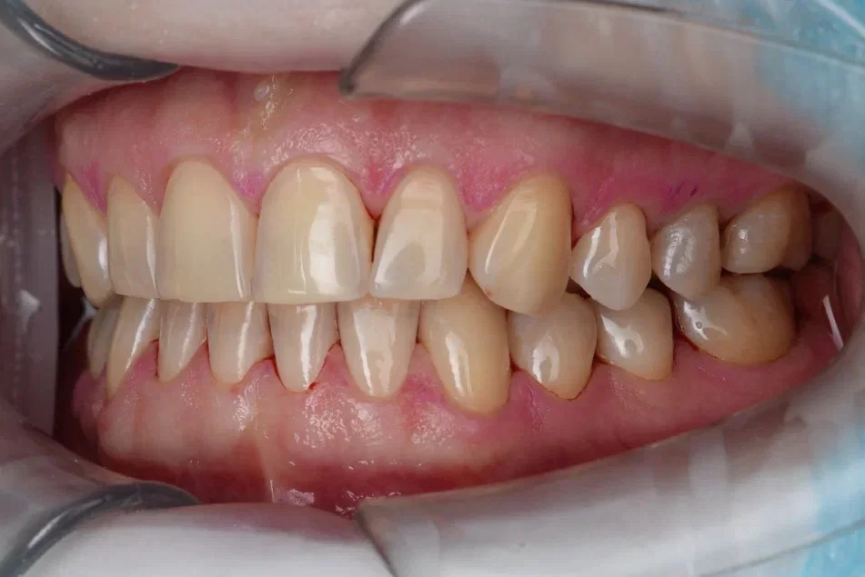
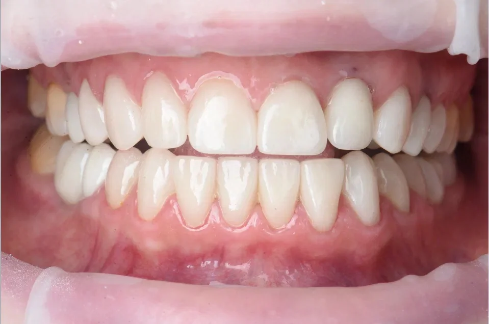
Протезирование зубов с помощью коронок и мостов возможно как на собственные зубы, так и на имплантаты. Благодаря инновационным цифровым технологиям и передовым материалам процесс установки коронок стал значительно быстрее и проще. Кроме того, современные коронки отличаются высокой точностью посадки, прочностью, эстетичностью и долговечностью, превышающей 15 лет.
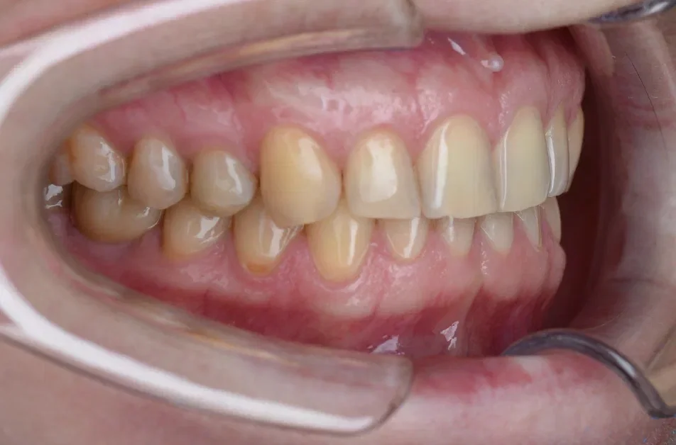
Выбор конкретного типа коронки зависит от нескольких факторов, включая область установки, финансовые возможности и предпочтения пациента. Для восстановления боковых и дальних жевательных зубов чаще всего используют циркониевые и металлокерамические коронки (последние мы не используем, т. к. они считаются устаревшими), в то время как для передних зубов, особенно верхних, предпочтительнее цельная керамика.
На заметку! Наша стоматологическая клиника в Раменском предлагает полный комплекс услуг по протезированию зубов «под ключ». Это означает, что стоимость установки коронок фиксируется на всех этапах лечения и не меняется в процессе. Подробную информацию о ценах вы можете найти в соответствующем разделе нашего сайта или узнать по указанному телефону.
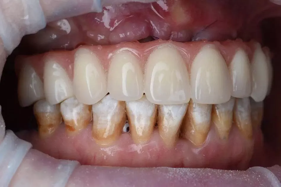
Установка коронок на передние зубы рекомендуется при наличии следующих проблем:
Существуют определенные противопоказания к установке коронок на передние зубы:
Решение об установке коронок на передние зубы принимается врачом-стоматологом индивидуально для каждого пациента после тщательного обследования и анализа всех факторов.
При полной утрате зубов оптимальным решением являются коронки на титановых имплантах. Имплантация – наиболее естественный метод замещения утраченных зубов, поскольку импланты, вживляемые в челюстную кость, выполняют функцию корня отсутствующего зуба. Это позволяет не только восстановить зуб, но и предотвратить атрофию костной ткани и рецессию десны.
Существуют различные методы имплантации: традиционный (с разрезом десны), через прокол (малоинвазивный) и экспресс-имплантация (в лунку удаленного зуба).
Коронка фиксируется на абатменте, который крепится к импланту. Временный протез используется только при одноэтапных протоколах с немедленной нагрузкой.




Реставрация зубов в зоне улыбки — востребованная услуга в стоматологических клиниках. Дефекты передних зубов невозможно скрыть, поэтому пациенты стремятся восстановить их в первую очередь. Подход к установке коронок зависит от степени повреждения зуба. Если зуб сохранен более чем наполовину, коронка устанавливается сверху. При сильном разрушении или отсутствии зуба применяют протезирование на имплантатах.
Для изготовления коронок используются высококачественные материалы, обеспечивающие прочность, устойчивость к повреждениям и естественный вид. Керамический слой на каркасе придает коронке натуральный оттенок. Стоимость коронок для передних зубов выше, чем для жевательных, из-за использования специальных технологий и более сложной установки.


или оставьте заявку в форме ниже
и мы свяжемся с вами в ближайшее время
Многолетний врачебный опыт работы поколений и современные мировые технологии протезирования:

Сколы, трещины, изменение цвета, неправильная форма

Работаем с надежными производителями, чтобы гарантировать долговечность и эстетику вашей новой улыбки

Мы разработаем несколько вариантов лечения, учитывая ваши пожелания и особенности

Используем интраоральный 3D-сканер для создания максимально точной модели ваших зубов






или оставьте заявку в форме ниже
и мы свяжемся с вами в ближайшее время







или оставьте заявку в форме ниже
и мы свяжемся с вами в ближайшее время
Спасибо за обращение
Мы обязательно вам перезвоним в ближайшее время.