- Имплантация
- Протезирование
- Брекеты
- Коронки
- Эстетика
- Лечение
- Удаление
- Диагностика
- Лечение во сне
г. Раменское,
ул. Воровского, 8/1
г. Раменское,
ул. Воровского, 8/1


Устанавливаем надежные импланты и качественные протезы




Класс импланта: эконом
Гарантия на имплант: пожизненно
Немедленная нагрузка: да
Время приживления импланта: от 12 нед.
Класс импланта: стандарт
Гарантия на имплант: пожизненно
Немедленная нагрузка: да
Время приживления импланта: от 12 нед.
Класс импланта: премиум
Гарантия на имплант: пожизненно
Немедленная нагрузка: да
Время приживления импланта: от 12 нед.
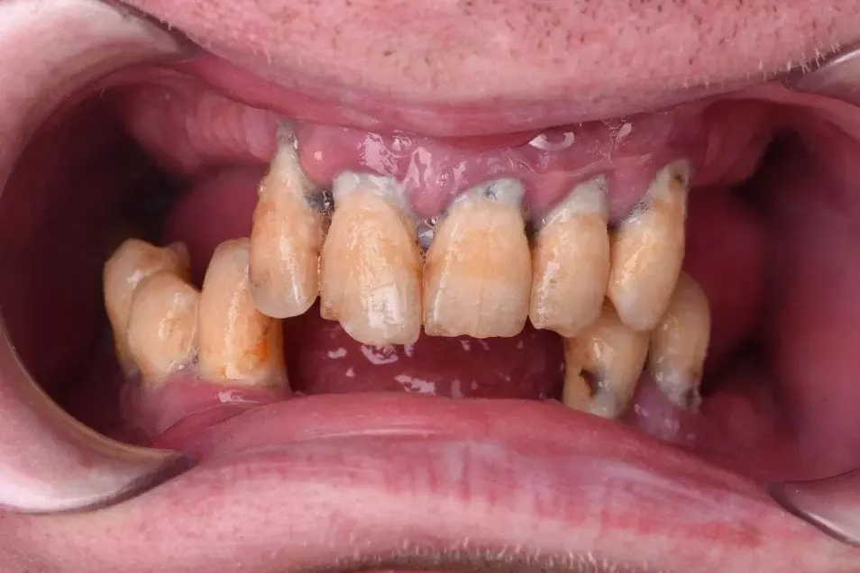
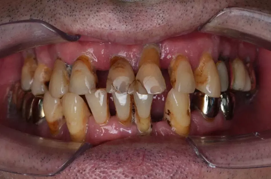
Имплантация зубов в эстетически важной зоне требует особого подхода. Для этого используются керамические или титановые импланты малого диаметра. Ведущие производители предлагают специальные линейки таких имплантов, каждый со своими преимуществами: одни имеют особую резьбу, другие – пористую поверхность для лучшего срастания с костью. Выбор огромен.
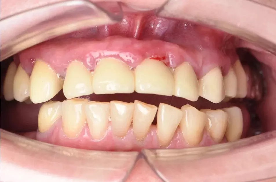
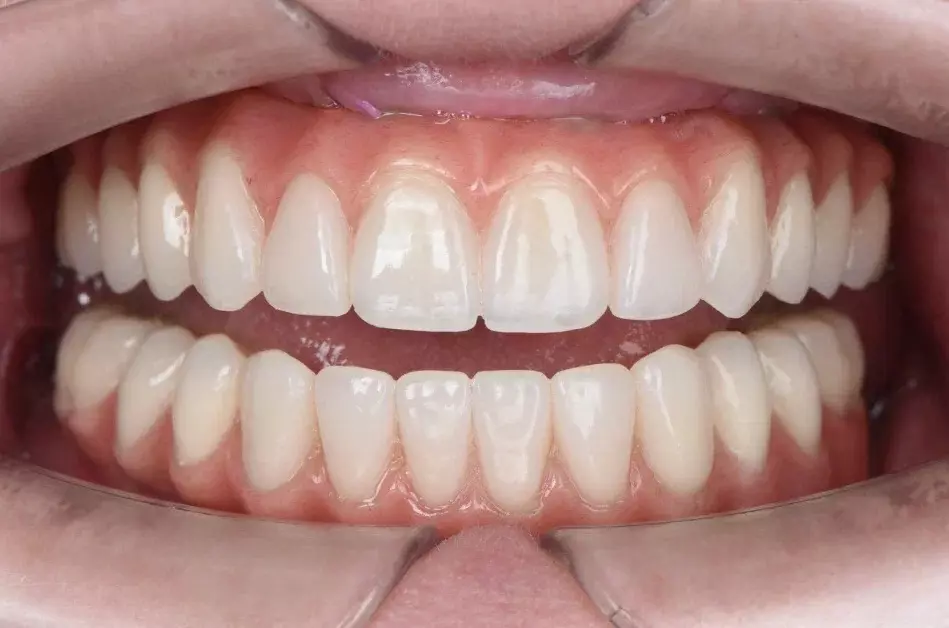
Для коронки чаще всего выбирают керамику или диоксид циркония. Керамические протезы невероятно эстетичны, но циркониевые прочнее.
Важный нюанс! При выборе абатмента (соединительного элемента между имплантом и коронкой) рекомендуется отдать предпочтение диоксиду циркония. Он не просвечивает сквозь коронку, как металл, и остается незаметным в случае рецессии десны. Кроме того, он не вызывает синюшности или сероватого оттенка мягких тканей, которые могут возникать при контакте с металлом.
В каких случаях пациенту стоит задуматься об имплантации передних зубов:
В каких случаях имплантация передних зубов не рекомендуется:






Принципиальных отличий в самой процедуре нет. И в том, и в другом случае используются аналогичные импланты, а этапы операции практически идентичны. Процесс остеоинтеграции, то есть приживления импланта к костной ткани, занимает примерно одинаковое время как для верхней, так и для нижней челюсти. Это обусловлено схожестью биологических процессов в обеих областях.
После успешного приживления импланта на него устанавливается абатмент – переходный элемент, на который впоследствии фиксируется коронка. Этап протезирования также не имеет принципиальных отличий в зависимости от расположения импланта. Конечно, существуют нюансы, связанные с анатомическими особенностями челюстей. Например, костная ткань верхней челюсти может быть менее плотной, чем нижней. Однако эти особенности учитываются врачом при выборе импланта и методики его установки, что позволяет достичь одинаково успешных результатов в обоих случаях.


или оставьте заявку в форме ниже
и мы свяжемся с вами в ближайшее время
Мы гордимся статусом официального партнера и центра клинического мастерства Nobel Biocare – это признание, которое получают немногие стоматологические клиники в России. Наш успех основан на:

Мы работаем исключительно с проверенными временем брендами дентальных имплантов: Straumann, Nobel Biocare, NeoBio. Каждый из них подкреплен пожизненной гарантией производителя.

Современное оборудование и инструменты – неотъемлемая часть нашей работы. Это позволяет нашим специалистам проводить процедуры с максимальной точностью и комфортом для пациентов.

Мы используем только самые эффективные и безопасные методы анестезии. Имплантация зубов проводится под седацией или во сне, что полностью исключает болевые ощущения.

Хирурги-имплантологи клиники постоянно совершенствуют свои навыки, проходя обучение и стажировки у ведущих мировых экспертов. Вы можете быть уверены в их профессионализме и опыте.






или оставьте заявку в форме ниже
и мы свяжемся с вами в ближайшее время







или оставьте заявку в форме ниже
и мы свяжемся с вами в ближайшее время
Спасибо за обращение
Мы обязательно вам перезвоним в ближайшее время.