г. Раменское,
ул. Воровского, 8/1

Ежедневно с 09:00-21:00
Звоните, мы сейчас работаем:
+7 (495) 374-82-61
Услуги
Меню

г. Раменское,
ул. Воровского, 8/1

Ежедневно с 09:00-21:00
Звоните, мы сейчас работаем:
+7 (495) 374-82-61
Ежедневно с 09:00-21:00

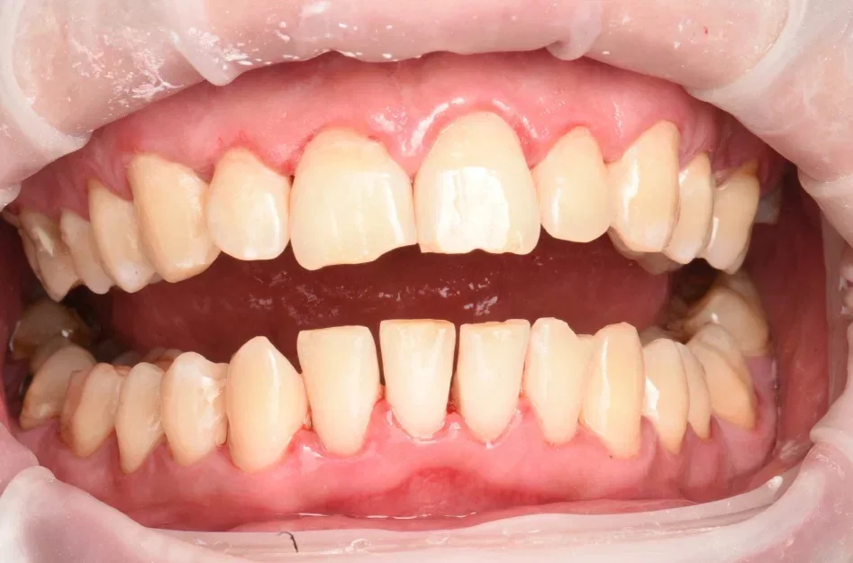
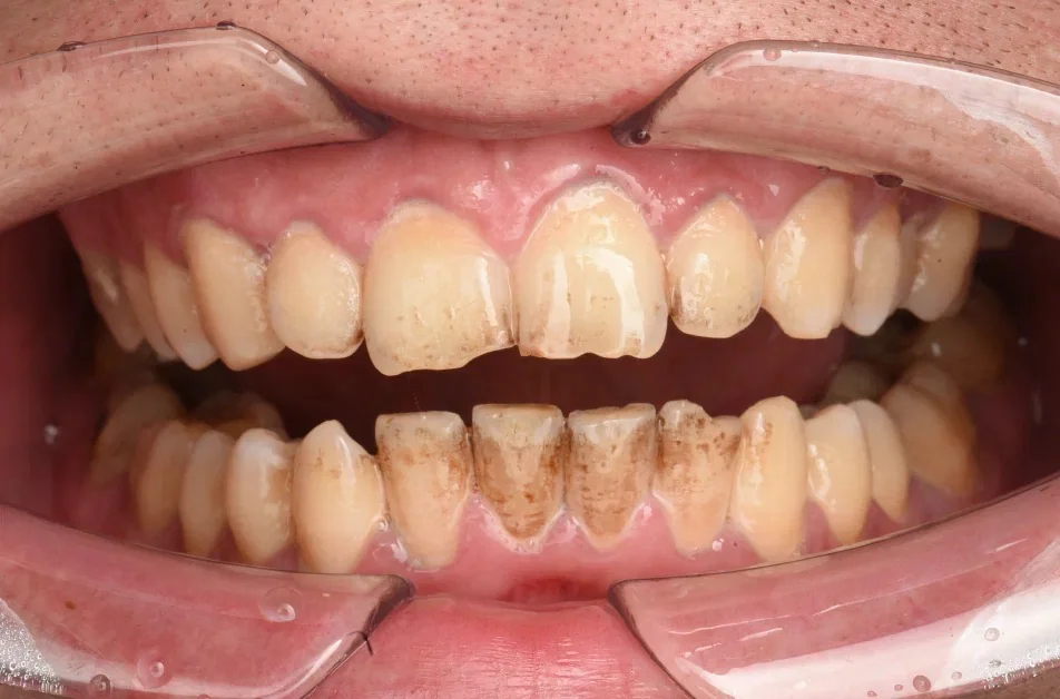
Оказанные услуги

Срок лечения:
До
После
Отзыв пациента
Лечащий врач
Гаспарян Артём Гургенович
Директор клиники, ортодонт, стаж: 9 лет
Гаспарян Артём Гургенович
Работаем для вас с 10:00-21:00 +7 (495) 126-17-20
Обратный звонок

Истории других наших пациентов

Фото отзыва
Ортодонтическое лечение брекет-системой
Фото отзыва
Профессиональная гигиена и исправление прикуса
Фото отзыва
Исправление прикуса с помощью брекетов
Фото отзыва
Комплексное лечение и исправление прикуса
Фото отзыва
Ортодонтическое лечение брекетами
Фото отзыва
Исправление прикуса брекетами
Фото отзыва
Имплантация одного зуба
Фото отзыва
Имплантация двух зубов
Фото отзыва
Установка зубных имплантов
Фото отзыва
Протезирование на 6-ти имплантах
Фото отзыва
Протезирование на 4-х имплантах
Фото отзыва
All-on-4. Пациент: Елена Леонидовна
Фото отзыва
Имплантация. Пациент: Панамарёва Е.А.
Фото отзыва
Имплантация. Пациент: Альберт Владимирович
Фото отзыва
All-on-4. Пациент: Коваль Юлия Сергеевна
Фото отзыва
Протезирование. Пациент: Маркелова Антонина

Почему пациенты выбирают
«Династию врачей»

Современная клиника
Современная клиника в  Подмосковье
Применяем передовые и проверенные методы лечения, современное оборудование, цифровые решения для 3D-моделирования
98% пациентов приходят по рекомендации
98% пациентов приходят по рекомендации
Большинство наших пациентов не только читают отзывы, но и видят наши работы у своих друзей и знакомых, и приходят к нам за таким же результатом
17 специалистов
17 специалистов с опытом работы 5-19 лет
Наши врачи не только работают с высокими технологиями, но и поддерживают свое мастерство, обучаясь у основателей и разработчиков методик
Центр обучения Nobe Biocare
Центр обучения Nobel Biocare
Клиника "Династия врачей" является центром клинического мастерства продукции Nobel Biocare (Швеция) и Swiss Denture Concept by Candulor (Швейцария)
Фото - Врач
Фото - Врач
Фото - Компьютерный стол в кабинете
Фото - Врач с клиентом
Фото - Детская комната
Фото - Кабинет врача
Дорофеева Нина Александровна

Дорофеева
Нина Александровна
Консультирующий
доктор

Запишитесь прямо сейчас

На осмотр и подробную консультацию

Телефон
По телефону +7 495 374-82-61

или оставьте заявку в форме ниже

и мы свяжемся с вами в ближайшее время

г. Раменское
ул. Воровского, 8/1
Звоните круглосуточно: +7 (495) 374-82-61
Приходите в гости
с 09:00 до 21:00